患者信息:赵先生,男,61岁,57公斤,四川会理人
临床诊断:
免疫性血小板减少性紫癜
案例病情病史回顾 – 肛周感染住院
2021-04-04肛周肿痛:入院肛肠科住院治疗,诊断:1、肛周脓肿;2、混合痔;3、直肠粘膜脱垂。术前检查血常规:血小板计数正常,167×10^9/升。
2021-04-05肛周手术:全麻下行“肛周脓肿一次性根除术+直肠粘膜套扎吻合术+外剥内扎术”,手术过程顺利,术后未查血小板,手术切口无出血症状。

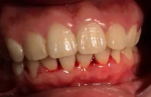
2021-04-15术后十天:手术切口处持续渗血、便中带鲜红色血,漱口时又伴有牙龈出血,四肢皮肤散在有瘀斑、瘀点,检查血小板1×10^9/升,请血液科会诊协助解决血小板减少、手术切口持续渗血的诊断与处理。
转血液科诊治(共住院4天)
2021-04-15转血液科:此后,开始出现口腔、黏膜血疱,全身皮肤散在暗红色瘀点、瘀斑,以四肢更为显著。按照血小板减少的常规治疗予以止血、输注单采血小板、糖皮质激素等,但没有接受免疫球蛋白治疗。
2021-04-16查血小板:4×10^9/L,手术切口间断渗血(量少)。
2021-04-17持续渗血:查血小板3×10^9/升,手术切口间断渗血(量少)。
2021-04-18鼻腔出血:骨髓检查结果回报后确诊:免疫性血小板减少性紫癜(排除血液系统恶性肿瘤)。
查血小板3×10^9/升。右侧鼻腔出血、左侧鼻腔有干燥血痂,口腔黏膜仍然有血疱,舌体开始出现数个血疱,手术切口渗血不止(量多、持续),继而出现血压显著下降,下午发生休克血压:85/60mmHg,2021-04-18估计出血量有约800毫升,血液科积极抢救休克予以纠正。
肛肠手术探查
2021-04-19出血加重:肛周手术切口处渗血依然持续不止,全身多处出血、口腔血疱等“湿性出血”状态,出血风险进一步加重,不排除发生致死性颅内出血可能。骨髓检查结果回报后确诊:免疫性血小板减少性紫癜。
10点07分检查~~血红蛋白:75克/升,血小板:3×10^9/升;
17点52分检查~~血红蛋白:59克/升,血小板:2×10^9/升。
2021-04-19手术探查:夜间22点,全身麻醉下行肛门直肠探查止血术,术中共输注红细胞悬液4个单位、血浆300毫升、血小板2个治疗量,同时抢救性给予静脉用人免疫球蛋白40克,术后转入重症监护室(ICU)继续观察病情,继续输注红细胞悬液2个单位、血浆400毫升。
2021-04-20病情稳定:查血小板升至62×10^9/升、血红蛋白102克/升,由重症监护室转入肛肠科观察治疗,再次输注静脉用免疫球蛋白17.5克。
2021-04-21病情改善:查血小板82×10^9/升。
2021-04-22病情好转:查血小板184×10^9/升。
2021-04-24病情稳定:查血小板184×10^9/升。
2021-05-02再次下降:肛周手术切口突然再次渗血,出血量较前减少,查血小板再次降低至1×10^9/升,加用地塞米松10毫克静脉给药、输注血小板,经血液科会诊后,再次给予静脉用免疫球蛋白。
2021-05-03查血小板:升至20×10^9/L。此时牙龈出血及皮下瘀斑等症状已经明显好转,肛周渗血已基本停止,赵先生自行出院,转院继续治疗。
寻求西医治疗
2021-05-03转院治疗:查血小板21×10^9/升,转院到四川省某三甲医院住院进行纯西医治疗,同时查免疫相关的所有抗体指标发现:抗SS-A抗体(+)、Ro-52抗体(++)。
诊断:免疫性血小板减少性紫癜。
治疗:泼尼松60毫克 8天(每次30毫克,每天2次)治疗。
2021-05-11查血小板:升至140×10^9/升(正常),血红蛋白110克/升,白细胞7.71×10^12/升,住院时间一周。

2021-05-12出院治疗:出院后继续口服泼尼松,每次30毫克,每天2次(共12粒,早晚各6粒)。服用激素期间,间断刷牙时有牙龈少量出血,排便时少量带血。感觉手、足有肿胀、麻木,双膝关节、手指关节隐痛不适,自述“服用激素后感觉全身不适”。
2021-05-12出院结果:血小板140×10^9/L,继续泼尼松60毫克 口服治疗(每次30毫克,每天2次),定期门诊随访减量激素泼尼松用量。
2021-05-25定期检查:门诊查血小板再次下降至53×10^9/升;激素未减量, 泼尼松60毫克 8天(每次30毫克,每天2次)。
2021-06-08定期门诊:门诊查血小板继续下降至31×10^9/升,此时激素仍未减量, 泼尼松60毫克 8天(每次30毫克,每天2次)。
血液科推荐了刺激血小板生长的常规用药~~促血小板生成素(特比澳)治疗,因价格昂贵患者暂时没有接受(单支价格:1200元以上)。
重启中医治疗
2021-06-13中医治疗:因激素副作用,疗效不稳定,自行重回我院血液科门诊治疗,尝试中医治疗。我科门诊就诊时泼尼松用量:60毫克 8天(每次30毫克,每天2次),我院门诊未查血小板,以2021-06-08号血常规检查的血小板值31×10^9/升为参考。
足量1月激素(泼尼松)血小板水平较低,判断疗效欠佳,建议逐渐减量泼尼松,减量方法从每天12粒泼尼松开始:每5天减总量1粒(因个人原因,实际减量方法为:每7天减1粒,共减3粒后,从每天9粒开始调整为每5天减1粒,直至减完9粒泼尼松)。
2021-06-22查血小板:30×10^9/升,继续服中药治疗,口服泼尼松继续减量。
2021-07-26查血小板:133×10^9/升,继续服中药治疗,口服泼尼松继续减量。
此后,血小板一直维持正常水平,继续定期调整、减量泼尼松用量,手足肿胀、麻木及膝关节、手指关节隐痛也逐步缓解并消失,2021-08-17完全减停激素,单纯服用中药至今。
文章属于病友个人治疗见解及自身对疾病的治疗分析仅供参考(不代表本站同意其说法)谨慎参阅!
提示:ITP6病友网站内任何对疾病的建议都不能替代执业医师当面诊断!
作者:血小板减少交流群病友分享(文章内图片于群内交流)
链接:https://www.itp6.com/13076.html
文章版权归作者所有,未经允许请勿转载。

微信扫一扫