血小板卫星现象是临床上主要见于检验科,血液内科等科室的一种现象,它是指在使用EDTA-2K(乙二胺四乙酸二钾)对患者血液进行抗凝时,有一部分患者血涂片中可以看到血小板呈簇状聚集,另外有时也可以看到血小板在白细胞周围黏附,这就称为血小板卫星。
血小板卫星现象是导致血小板计数偏低一个原因。临床上血小板卫星出现,可能见于以下几种情况,第一可能跟抗凝出现问题有关。第二可能跟血液放置时间过短有关。
最简单的理解“血小板卫星现象”就是假性血小板减少!
概念:当将金黄色葡萄球菌与流感嗜血杆菌在同一血琼脂平板上共同培养时,由于前者能合成较多的X、V因子,促进后者生长,故在金黄色葡萄球菌菌落周围生长的流感嗜血杆菌菌落较大,距离越远的菌落越小,此现象称为“卫星现象”(satellite phenomenon)。
前几天朋友圈传了央视的一个视频«律师来了»,说的是的一个关于EDTA抗凝剂(平时采血时紫色血常规管里的抗凝剂)诱导的血小板计数假性减低导致患者错误的诊断及治疗以及与医院的纠纷的案例。今天,我想聊一聊另外一个引起血小板假性减少的原因—-血小板卫星现象。
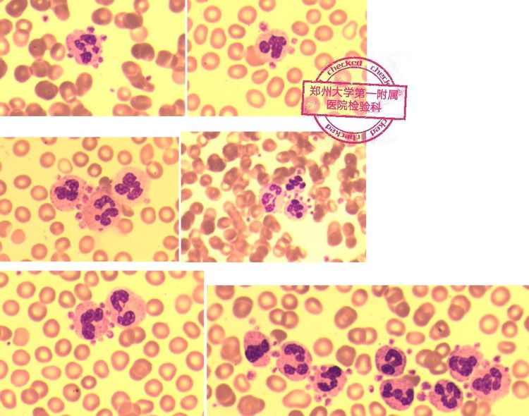
案例一,老年男性患者,血小板88,低于正常值,其他的都正常。血小板直方图右侧尾部翘起,提示有大血小板或成堆聚集的血小板,这种情况下血小板计数是不准确的,根据复检规则,需要进行涂片染色后显微镜下观察血小板的真实情况。涂片染色后显微镜下所见如下图:

中性粒细胞周围环绕有血小板,像环绕地球的卫星,故称之为”血小板卫星现象”。血常规检测仪器检测血小板是根据电阻抗的原理进行检测,单个血小板通过检测通道时会引起电流的改变,从而进行计数。这种血小板卫星现象,血小板粘附在中性粒细胞的表面,不能形成单个的血小板通过检测通道,在计数时就是漏网之鱼,导致仪器检测的血小板值低于患者本来的血小板数量。
案例二,老年男性,血常规检测血小板计数低于正常值,为80,其他指标基本正常。直方图也没有太大异常。但80这个值正好触及了我们的复检规则,必须要进行涂片染色后显微镜观察,看是真少还是假少。显微镜下如下图所见:

一眼就看到了这么漂亮的”太阳花”,又是血小板卫星现象。连着两天都见到了这样的患者,让我说什么好呢。又是假性减低,其实患者本身的血小板计数并不低。

造成血小板卫星现象导致血小板计数假性减低出现的原因有很多,可能是由于抗凝剂诱导的,可能是患者本身有基础疾病如自身免疫性疾病、肿瘤、炎症等,具体情况要具体分析,至于这两位患者,很遗憾由于各种客观因素没有进一步验证查找原因。查了一些资料,都提示这种情况一般不具备病理性的意义。鉴于以上所说,我们在报告单上写下了备注提示血小板卫星现象导致的血小板计数假性减低。患者的血小板其实并不少,不需要进行干预和治疗。认真对待每一位患者的每一份检测报告,避免了患者的误诊误治,也避免了不必要的纠纷产生。

假性减少不需要治疗
既然是血小板计数假性减少,说明并不是生理性或者病理性的血小板减少,是不需要治疗的。只是,如果假性血小板减少症未被及早及时分辨,可能会给临床工作及患者带来很大的困扰,如延误手术、增加不必要的辅助检查、增加患者的痛苦与经济负担等。在临床上,我们碰到过有患者手术前检查发现血小板减少,因急于手术而没有明确血小板减少的原因就给予升血小板药物治疗,结果不仅白用了那些药物,还延误了手术时机。
文章属于病友个人治疗见解及自身对疾病的治疗分析仅供参考(不代表本站同意其说法)谨慎参阅!
提示:ITP6病友网站内任何对疾病的建议都不能替代执业医师当面诊断!
作者:血小板减少交流群病友分享(文章内图片于群内交流)
链接:https://www.itp6.com/7562.html
文章版权归作者所有,未经允许请勿转载。

微信扫一扫